症例紹介

Case

  • トップ
  • 奥歯のむし歯をダイレクトボンディングで修復した症例
症例

2026-01-20

著者:

奥歯のむし歯をダイレクトボンディングで修復した症例

症例

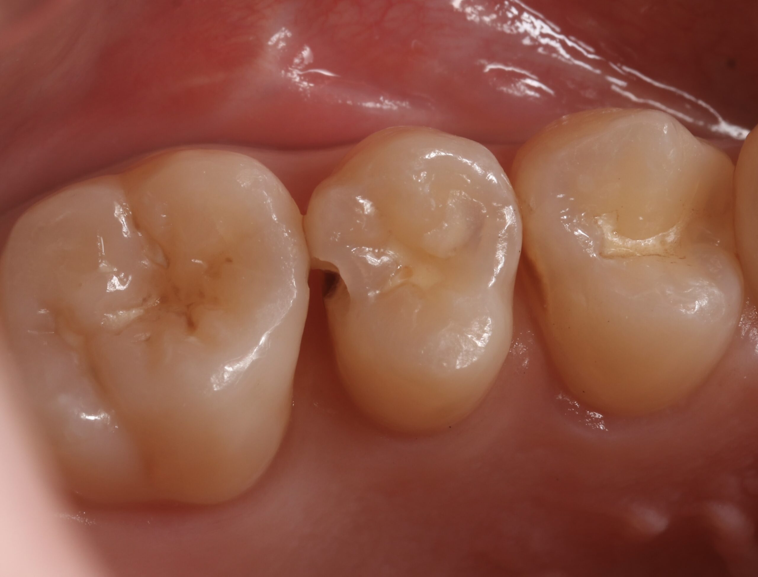
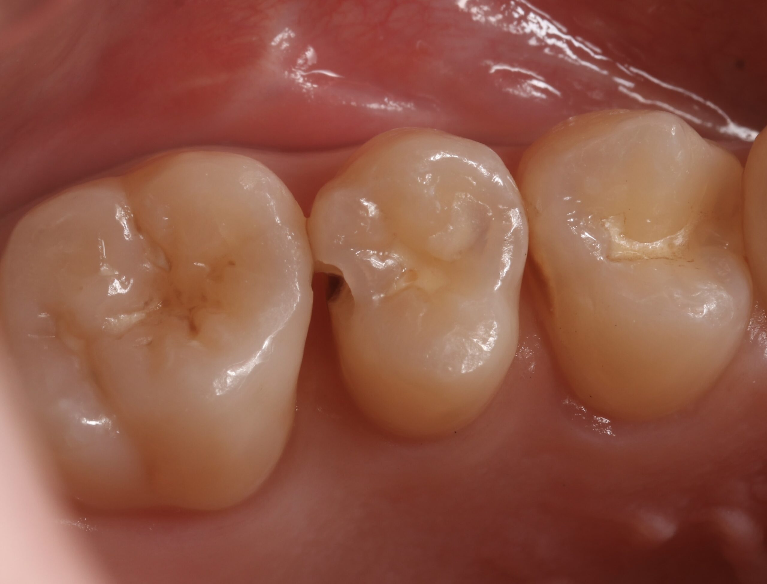
BEFORE AFTER

Before
After

治療経過

治療経過
治療経過
治療経過
治療経過

( 1 / 1 )

主訴冷たいものがしみる
治療内容左上奥歯の歯と歯の間にむし歯が認められたため、むし歯の部位を慎重に取り除きました。その後、歯の形に合わせて歯科用レジンを直接充填・積層し、本来の歯の形態と噛み合わせを回復させました。型取りを行わず、即日で修復を完了しています。
治療期間1日
費用この治療は公的医療保険が適用されない自由診療(自費診療)です。
ダイレクトボンディング:1本 33,000円
総額目安:2本で 66,000円
※上記は標準的な費用です。むし歯の大きさや難易度により費用が異なる場合があります。
治療のリスク・破折、摩耗:奥歯は噛む力が非常に強くかかるため、セラミックインレーや金属に比べると強度が劣り、経年使用により欠けたりすり減ったりする可能性があります。
・変色:吸水性がある素材のため、長期間の使用により変色や着色が起こる場合があります。
・適応の限界:むし歯の範囲が広すぎる場合や、噛み合わせの力が強すぎる場合は、強度不足となるため、被せ物(クラウン)等の治療をお勧めする場合があります。
・術後の疼痛:深いむし歯の場合、治療後に一時的な痛みやしみ(知覚過敏)が出ることがあります。症状が治まらない場合は神経の処置が必要になることもあります。

カテゴリ

当医院について

けやき歯科クリニックは、基山駅から徒歩7分の場所にある、より多くの方に生涯を通して寄り添う歯科医院です。